
矯正治療とは、上下のあごの骨、歯が生えているU字型の骨、そして歯の並び方を、より健全にバランスよく完成させるための治療です。
そのためには、
- あごの大きさと形を整える。
- 歯をU字型の骨の中に正しく排列する。
- あごの骨や歯並びに悪影響を与えるくせなどを取り除くこと
が大事です。
バランスよく完成されたお口は、噛み合わせがいいのでよく噛んで食べられ、健康の基本である食をしっかり支えることができます。
また、きれいに並んだ歯は汚れが溜まりにくく、虫歯や歯周病になりにくいです。お口とからだの健康を長期的に支えるとても大切な治療です。
しかもステキな笑顔がオマケについてきます。
矯正の種類
床矯正 | 床装置という入れ歯に似た器具を固定源にして、歯を動かしたり、あごを拡大して、歯並びをきれいにし、咬み合わせを整えて行く矯正治療です。 |
---|---|
矯正 | 歯列矯正で最もポピュラーなのが、このマルチブラケット装置です。 この装置はほとんどの歯にブラケットという器具をつけ、そこにワイヤーを通し、歯を1本ずつ動かす治療です。 |
インプラント矯正 | 直径1~2ミリの小さなインプラントを、埋め込んで固定源とします。 歯を固定源とするよりも安定して埋め込む場所を選べることから、繊細な移動ができ、またインプラントを埋め込めばすぐに矯正を始める事ができる治療です。 |

床矯正器具

矯正器具

インプラント矯正器具
お子様の矯正の流れ
![]() |
お口の中の状態を確認し、症状、治療法、料金大体の期間等についてご説明します。 その時、レントゲン撮影を無料ですることもあります。 ご家族でよく話し合って治療に進まれる方はお電話にて予約をして下さい。 |
---|---|
![]() |
レントゲン撮影(歯型をとります) |
![]() |
検査の結果と治療方法について詳しくお話します。 ご本人は来院されなくても結構です。 |

![]() |
(すべての永久歯が崩出するまでの期間) 症状に応じて取り外しの装置をつけたり、外から見えにくい固定式の装置をつけます。 |
---|---|
![]() |
永久歯の生える隙間が出来たら、外から見えにくい固定式の装置をつけます。 |
![]() |
完全に永久歯が崩出した時点で終了します。 |

![]() |
精密なレントゲン撮影を行い歯型をとり、口腔内の写真を撮ります。 お口の中や顔全体の詳しい検査を30分ぐらいかけて行います。 |
---|---|
![]() |
精密検査の結果と治療方法について詳しくお話します。 ご本人がこられなくても構いません。 |
![]() |
(矯正治療) 個々の歯に装置をつけたり、見えない矯正治療装置(取り外し可能)をつけたりします。 |
![]() |
|
![]() |
きれいになった歯並びを安定させるため治療終了後も何らかの装置を続ける必要があり、後戻りが起こらないようにするためです。 期間は、初めは1ヶ月に1回ですが、徐々に延び数ヶ月に1回から半年に1回になります。 |
![]() |
保定治療の後の歯並びが落ち着いたら、保定装置を終了し治療後の観察をします。 もし後戻りがみられ、必要があると思われる場合は再治療を行います。 |
お子様の矯正治療費(税込)
第一治療の診査、診断 | 22,000円 |
---|---|
第一治療 | 255,000円 |
第二治療の診査、診断 | 55,000円 |
第二治療 | 385,000円~440,000円 |
大人の矯正の流れ
大人の方の矯正治療は、矯正またはインプラント矯正となります。
詳しくは、当院までお気軽にお問い合わせください。
大人の矯正治療費(税込)
銀 | 550,000円 |
---|---|
セラミック | 600,000円 |
クリアアライナー | 600,000円 |
インプラント矯正 | 550,000円~600,000円 |
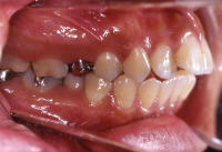
症例
矯正(上あご前突)

術前

術後
矯正(下あご前突)

術前

術後
床矯正

平成20年9月20日
治療開始

平成21年4月25日
治療開始7ヶ月後

平成22年3月20日
治療開始18ヶ月後
インプラント矯正

術前

術後